
A woman has revealed her shock at being diagnosed with cancer and cured of it within the same day.
April Boudreau, from Texas, US, shared her surprise when she woke up from a surgery to discover that a tumour had been spotted in her lungs, and then immediately removed before she woke up from local anaesthesia.
One in 16 people are diagnosed with lung in the US, which is approximately 236,740 people every year, according to the Lung Cancer Research Foundation.
It is a leading cause of cancer deaths worldwide, but thanks to people decreasing their smoking habits, the number went down last year and was recorded as an all-time low.
Advert

The 61-year-old grandmother explained that she had already beaten cancer three times prior to her lung cancer diagnosis - she had received treatment for Hodgkin’s lymphoma twice in 1984 and 1985 and breast cancer in 2002.
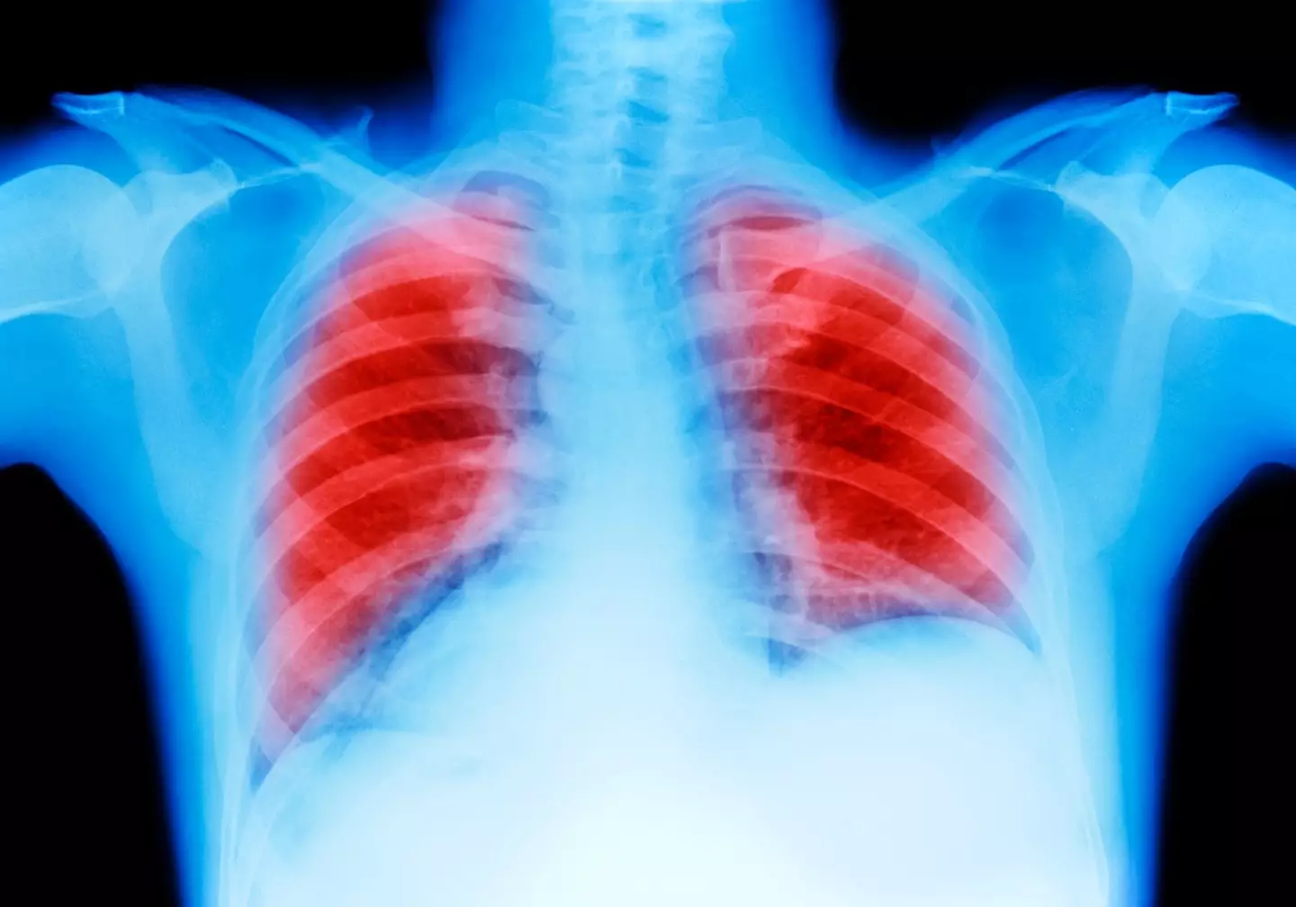
On this occasion, Boudreau had been to the Texas Health Harris Methodist Hospital for her annual CT scan in January of this year, when doctors found a nodule on her right lung.
She was then asked to come into the hospital again in the spring to follow-up on the mass when, during the biopsy, they managed to confirm that it was early-stage lung cancer.
Advert
Thankfully, surgeons were able to remove it immediately, and cut it out using a new, minimally invasive thoracic surgery technique which employs the use of a robotically guided, ultra-thin catheter.
The hospital is one of the first in Texas to use this method, which can locate early-stage lung cancer before traditional measures can see it.
“You pinch yourself because you can’t believe it’s true,” she told the Daily Mail. “This was all so simple, with no radiation or chemo.”
For the grandmother, it all came as a surprise for her as the only symptom she had noticed was that she was becoming a little out of breath.
Advert
But at her age, she believed it was nothing more than the pains of growing older.

Thankfully, she was able to have it dealt with immediately and is now cancer free.
The surgery was able to remove the tumour by making five tiny incisions on her right side and then she was able to leave the very next day.
Advert
She shared: “I took pain pills for three days, and that’s all I needed. Within three days later, I was just normal, walking around. I couldn’t believe it.”
Because of her lung cancer diagnosis, she will now have to have a CT scan twice a year as opposed to once a year to keep an eye on her.
Joseph DeLeon, president of Texas Health Fort Worth, explained to The Post that the hospital has been happy to invest in advanced technologies to detect cancer earlier.
He said: “Studies show that the number of deaths from lung cancer are continuing to drop due to people not smoking and advancements like these in which people are diagnosed and treated earlier.
Advert
“Through these investments and by bringing multi-disciplinary treatment teams together, we’re saving lives.”