
There are early symptoms of Multiple Sclerosis that can be found in the eye, according to experts who have claimed it is 'unpredictable'.
Multiple Sclerosis (MS) is a chronic, inflammatory, autoimmune disease which can develop in any part of the body.
Currently, there is no cure for the condition, but promising treatments are being developed to improve the quality of life for those who suffer from it.
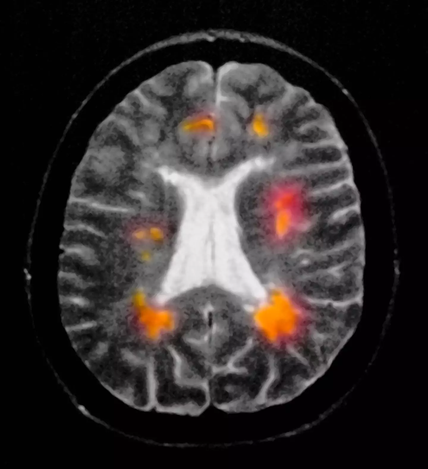
MS attacks the central nervous system, meaning there can be damaged nerves that disguise as other symptoms/conditions.
Advert
This makes the disease particularly difficult to spot in patients, especially because, according to experts, no two people experience the same symptoms.

Neurologist and MS expert Thomas Shoemaker spoke to Rush, and explained: "Because MS can develop anywhere within the central nervous system and encompasses the optic nerves, the brain and the spine, a lot of different types of critical attacks can occur, so that leads to diagnostic complexity."
Despite every person presenting a different case, there should be some commonality as to where the disease usually begins.
Advert
According to experts, two of the standout places include the optic nerve and the spinal cord.
Optic neuritis, inflammation around the optic nerve, is the most common.
This can present itself in the early stages as eye pain, blurred vision, and a headache.

Advert
But this only usually occurs on one side of the face, and can eventually lead to temporary or permanent loss of vision.
Optic neuritis also affects a person's perception of colour, so you may notice that colours don't look as vivid as they did prior.
Other people report that they experience flashing lights.
Spinal cord inflammation is the second most common place to see MS in its earliest stages.
Advert
The expert said: "You may experience numbness, tingling, weakness in the arms and legs, bladder dysfunction and/or difficulty walking."
MS hugely varies in the symptoms it presents, and others could experience bowel problems, including constipation and diarrhoea.
This is as well as depression, difficulty thinking, fatigue, and general pain.
Some patients report sexual problems too, as arousal starts in the central nervous system.
Advert
When the nerve pathways become damaged, it may change sexual functions such as the ability to orgasm for a person.
Despite all of these symptoms, Shoemaker warned that a person with these symptoms may not have MS, and it's important that the correct tests are carried out.
He added: "An MS diagnosis really requires the synthesis of lots of different types of information by experts who know what to look for and how to put the pieces together."